MedExams.net
Score:
0/0
Section 10
Photomicrographs and Color Plate Examination
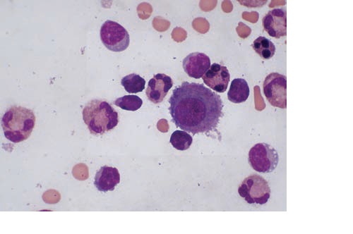
Plate 55 is a Wright’s-stained cytocentrifuge preparation of pleural fluid, 1,000×. What is the large cell near the center of the field?
Macrophage
Mesothelial cell
Blast
Plasma cell
Next